Kupffer Cells And Focal Nodular Hyperplasia Explained

D.Expipoint 47 views
Kupffer Cells And Focal Nodular Hyperplasia Explained

Unraveling the Mystery: Kupffer Cells and Focal Nodular Hyperplasia, Guys!

Hey everyone! Today, we’re diving deep into a super interesting topic in the world of liver health: Kupffer cells and their connection to focal nodular hyperplasia (FNH) . Now, I know those terms might sound a bit intimidating, but trust me, by the end of this, you’ll totally get what’s going on. We’re going to break it down in a way that’s easy to understand, so grab a coffee and let’s get started!

What Exactly Are Kupffer Cells, Anyway?

So, first things first, let’s talk about Kupffer cells . Think of these guys as the resident macrophages of your liver. Macrophages are a type of immune cell, and their job is basically to patrol the area, gobble up any cellular debris, and fight off nasty invaders like bacteria and viruses. In the liver, Kupffer cells are super important because the liver is like the body’s main filtration system, processing everything that comes from your gut. These specialized cells make up a significant portion of the liver’s total immune cells, and they’re strategically located in the liver’s blood vessels, called sinusoids. This prime location allows them to efficiently encounter and clear out harmful substances before they can spread throughout the body. They’re literally the first line of defense in the liver, constantly on the lookout for trouble. Their functions are diverse and critical, including phagocytosis (eating up foreign particles and dead cells), producing cytokines (signaling molecules that help regulate inflammation and immune responses), and presenting antigens to other immune cells, thereby initiating adaptive immune responses. They play a crucial role in maintaining liver homeostasis and are implicated in both the development and resolution of liver injury and disease. Understanding Kupffer cells is key to understanding many liver conditions, and FNH is definitely one of them.

Focal Nodular Hyperplasia (FNH): What It Is and What It Isn’t

Now, let’s switch gears and talk about Focal Nodular Hyperplasia , or FNH . This is a non-cancerous (benign) liver lesion that’s actually quite common. You might hear it called a “hyperplastic nodule” or simply a “nodule.” The key thing to remember is that FNH is not cancer, and it usually doesn’t cause any symptoms. It’s essentially an overgrowth of normal-looking liver cells and bile ducts, often with a central scar that you can see on imaging scans. Think of it like a small, organized growth within the liver. It’s usually found incidentally when someone is having imaging done for another reason. While it’s benign, it’s still important to identify it correctly because it can sometimes be mistaken for other liver tumors, some of which can be serious. Doctors use imaging techniques like MRI and CT scans to diagnose FNH, and often, the characteristic central scar is a dead giveaway. It’s also important to note that FNH doesn’t typically spread or invade surrounding tissues, which is another hallmark of benign conditions. The cells in an FNH nodule are generally well-organized and behave much like the surrounding healthy liver tissue, although they are arranged in a slightly different pattern. This distinction is crucial for medical professionals to make accurate diagnoses and recommend appropriate management strategies. The growth of FNH is thought to be a response to abnormal blood flow, specifically an increased arterial supply and normal or decreased venous drainage, which can stimulate the proliferation of hepatocytes and bile ductules. This unique vascular pattern is a key feature that radiologists look for when evaluating liver lesions.

Alright, so you’ve got these two players: Kupffer cells, the liver’s immune guardians, and FNH, the benign liver growth. What’s the connection, you ask? This is where it gets really fascinating, guys! Researchers have found that Kupffer cells play a pretty significant role in the development and characteristics of FNH. It turns out that in FNH lesions, there’s often a reduced number or altered activity of Kupffer cells compared to normal liver tissue. This reduction seems to be a key feature. Why is this important? Well, remember how Kupffer cells are supposed to clean up debris and regulate inflammation? When they’re not doing their job effectively in the area where FNH forms, it might allow for the abnormal growth and organization of liver cells to occur. It’s like removing the watchmen from a neighborhood; things can start to get a bit disorganized without them. Some studies suggest that the inflammatory signals produced by Kupffer cells normally help to keep liver cell proliferation in check. In FNH, this regulatory mechanism seems to be disrupted, potentially contributing to the excessive growth of hepatocytes and bile ductules that define the lesion. Furthermore, the abnormal blood supply within FNH lesions might also affect the function and distribution of Kupffer cells, creating a sort of feedback loop. The lack of functional Kupffer cells could influence the microenvironment of the FNH nodule, promoting its growth and the development of its characteristic features, such as the central scar, which is thought to arise from a lack of proper vascular remodeling and cellular organization, partly influenced by immune cell activity. The precise mechanisms are still being investigated, but it’s clear that the immune microenvironment, largely orchestrated by Kupffer cells, is a crucial factor in the biology of FNH. This understanding is leading to new avenues of research aimed at potentially modulating Kupffer cell activity to manage FNH or prevent its formation, although FNH is generally considered a stable condition that requires no treatment.

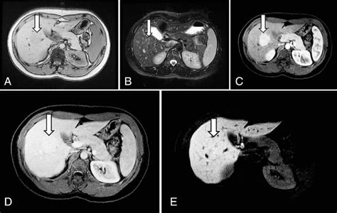
Diagnosing FNH: What Doctors Look For

So, how do doctors figure out if you have FNH? It’s all about the imaging, my friends! As we touched upon, FNH has some pretty distinct features on scans like MRI and CT. The central scar is a big one. It’s usually bright on certain MRI sequences, which helps doctors differentiate it from other liver lesions. Also, FNH tends to enhance (light up) in a specific way after contrast dye is injected. It gets a lot of blood flow from an artery, so it lights up brightly in the early arterial phase of the scan and then gradually fades. This pattern of enhancement is super characteristic. Doctors also look at the overall shape and borders of the lesion. FNH lesions are usually well-defined and don’t invade nearby structures. Now, here’s where Kupffer cells come into play indirectly. Some advanced MRI techniques, like using specific contrast agents that are taken up by Kupffer cells (called hepatobiliary contrast agents), can further help in the diagnosis. In FNH, the Kupffer cells might not be functioning or present in the same way as in the normal liver tissue. So, how these contrast agents behave can give doctors even more clues. If the lesion takes up the contrast agent normally, it suggests it’s made of well-functioning liver cells, which is typical for FNH. If it doesn’t take up the contrast, it might point towards a different type of lesion. This level of detail in imaging is what allows radiologists to be so confident in diagnosing FNH, distinguishing it from other, potentially more serious, liver conditions. It’s a sophisticated dance of light and shadow on the scans, all interpreted by highly trained eyes. The accuracy of these imaging techniques has significantly improved over the years, reducing the need for invasive biopsies in many cases. However, if the imaging is ambiguous, a biopsy might still be considered, but it’s generally a last resort for FNH diagnosis. The goal is always to achieve a confident, non-invasive diagnosis whenever possible.

The Role of Kupffer Cells in Liver Health and Disease

Let’s zoom out for a sec and talk about the broader importance of Kupffer cells in keeping your liver healthy. These amazing cells are like the unsung heroes of liver function. They’re involved in everything from detoxifying your blood to helping repair liver damage. In conditions like fatty liver disease, cirrhosis, and hepatitis, Kupffer cells can become activated and contribute to inflammation and fibrosis (scarring). However, they also play a crucial role in resolving inflammation and promoting healing when the insult to the liver is removed. Their dual nature makes them incredibly important to study. When FNH develops, the altered environment within the lesion seems to affect the Kupffer cells locally. This isn’t necessarily a bad thing for the patient because FNH is benign. But it highlights how intricately the immune system and liver cell behavior are linked. In other liver diseases, the over-activation or dysfunction of Kupffer cells can drive disease progression, leading to more severe liver damage and complications. For example, in alcoholic liver disease, Kupffer cells are activated by endotoxins from gut bacteria, releasing inflammatory mediators that promote liver injury. Similarly, in viral hepatitis, Kupffer cells contribute to the inflammatory response that, while attempting to clear the virus, can also lead to significant liver damage. The study of Kupffer cells is therefore central to developing therapies for a wide range of liver conditions, not just FNH. Researchers are exploring ways to modulate Kupffer cell activity – either to dampen excessive inflammation in diseases like cirrhosis or to potentially enhance their role in liver regeneration or anti-tumor immunity. The complexity of their function means that interventions need to be carefully targeted to avoid unintended consequences. But the potential therapeutic benefits are immense, making Kupffer cells a hot area of research in hepatology. Understanding their precise role in FNH is just one piece of this larger, complex puzzle of liver immunology.

Is FNH Something to Worry About?

This is the big question, right? For the most part, FNH is not something you need to lose sleep over. As we’ve discussed, it’s a benign condition. Most people with FNH have no symptoms at all and live perfectly normal lives. The main reason doctors care about FNH is to make sure it’s actually FNH and not something else that does need treatment. Once FNH is confidently diagnosed through imaging, it typically requires no specific treatment. You might just need periodic follow-up scans to ensure it remains stable, but often, even that isn’t necessary. The size of the FNH lesion generally doesn’t correlate with any specific risks, and it doesn’t typically grow significantly over time. In very rare cases, an FNH lesion might cause mild discomfort if it’s large and presses on other organs, or if it bleeds (which is extremely uncommon). If such symptoms were to occur, treatment options like embolization (blocking the blood supply to the lesion) or, in even rarer instances, surgical removal might be considered, but these are exceptions, not the rule. The key takeaway here is that FNH is a common, benign finding that, thanks to advanced medical imaging and our understanding of liver biology, is usually easily identified and managed without concern. The involvement of Kupffer cells is more of a scientific curiosity that helps us understand how FNH forms rather than a direct clinical concern for patients. So, if you or someone you know has been diagnosed with FNH, take a deep breath and relax. It’s usually just a little something the liver is doing, and it’s generally harmless. Always discuss any concerns with your doctor, of course, but rest assured that FNH is one of the more reassuring diagnoses in liver imaging. The stability of these lesions over time is a significant factor in their benign nature, and the vast majority of FNH cases remain unchanged throughout a person’s life. This predictability contributes greatly to the low level of clinical concern associated with this condition.

The Future of FNH Research and Kupffer Cell Insights

Looking ahead, the research into FNH and Kupffer cells continues to be a fascinating area. Scientists are still trying to fully understand the complex interplay between immune cells like Kupffer cells and the development of liver lesions. For instance, researchers are investigating whether specific inflammatory pathways involving Kupffer cells might be targeted to prevent FNH from forming in the first place, although the need for such interventions is low given FNH’s benign nature. Another exciting avenue is exploring how imaging techniques can be further refined to better assess the microenvironment within FNH lesions, perhaps even identifying subtle differences that could predict stability or very rare growth. Understanding the precise molecular signals that Kupffer cells release in the context of FNH could also unlock new diagnostic markers or therapeutic strategies, though again, the focus is generally on understanding fundamental biology given FNH’s low clinical impact. The field of liver immunology is constantly evolving, and each new discovery about Kupffer cell function sheds light on a wide range of liver diseases. The insights gained from studying FNH, even though it’s a benign condition, contribute to this broader knowledge base. It’s all about piecing together the intricate puzzle of how the liver works, how it responds to injury or abnormal stimuli, and how the immune system orchestrates these processes. So, while you might not hear much about FNH treatment because it’s usually managed by observation, the scientific research behind it is ongoing and valuable. It’s a testament to how much we can learn by studying even the most common and seemingly simple aspects of our body’s complex systems. The collaboration between radiologists, pathologists, and immunologists is crucial in advancing our understanding, ensuring that patients receive the most accurate diagnoses and appropriate care, even for conditions that are generally considered non-threatening. This ongoing research underscores the importance of a holistic approach to understanding liver health, integrating insights from imaging, cell biology, and immunology.