Myocardial Perfusion Imaging: A Comprehensive Guide

D.Expipoint 23 views
Myocardial Perfusion Imaging: A Comprehensive Guide

Myocardial Perfusion Imaging: A Comprehensive Guide

Hey everyone, let’s dive deep into the world of Myocardial Perfusion Imaging (MPI) , a super important tool in cardiology. If you’re looking to understand how well your heart muscle is getting blood flow, or if you’re just curious about medical imaging, you’ve come to the right place, guys! We’re going to break down what MPI is, why it’s used, how it works, and what you can expect if you need to get one done. Think of it as a peek inside your heart’s engine room, making sure everything’s running smoothly.

What Exactly is Myocardial Perfusion Imaging?

So, what exactly is Myocardial Perfusion Imaging ? At its core, MPI is a non-invasive nuclear medicine imaging technique that allows doctors to see how well blood is flowing to your heart muscle, known as the myocardium. It’s like giving your heart a stress test, but instead of just measuring your heart rate and blood pressure, we’re using a special radioactive tracer and a gamma camera to actually see the blood flow. This technique is absolutely crucial for diagnosing and assessing coronary artery disease (CAD), which is when the arteries supplying blood to your heart become narrowed or blocked. The goal here is to identify areas of the heart muscle that might not be getting enough oxygen-rich blood, especially during physical or emotional stress. These areas, known as perfusion defects, can be silent indicators of underlying heart problems. MPI helps doctors differentiate between healthy heart muscle and damaged or stressed muscle, providing vital information for treatment planning. It’s not just about finding blockages; it’s about understanding the functional impact of those blockages on your heart’s ability to pump blood effectively. The information gathered from MPI can guide decisions about lifestyle changes, medications, or even procedures like angioplasty or bypass surgery. It’s a powerful diagnostic tool that gives a comprehensive picture of your heart’s health from a blood flow perspective. This imaging technique is quite versatile and can be performed with different types of tracers and imaging equipment, but the fundamental principle remains the same: visualizing myocardial blood flow.

Why is MPI So Important for Heart Health?

Okay, so why is Myocardial Perfusion Imaging such a big deal in the realm of heart health? Well, guys, it’s all about early detection and accurate assessment. Coronary artery disease (CAD) can be a silent killer. Many people don’t experience symptoms until significant blockages have already developed. MPI can detect these issues before they lead to serious problems like a heart attack. By visualizing blood flow, doctors can pinpoint specific areas of the heart muscle that are struggling to receive adequate oxygen. This allows for timely intervention, which can significantly improve outcomes and prevent irreversible damage. Furthermore, MPI is incredibly useful in determining the severity of CAD and assessing the functional significance of known blockages. It helps doctors decide who needs treatment and what kind of treatment is best. For example, if MPI shows a significant perfusion defect that improves with rest, it might suggest a blockage that could benefit from revascularization. On the other hand, if a defect is present both at rest and with stress and is associated with scar tissue, it might indicate a non-viable area of the heart muscle. This kind of detailed information is gold for patient care. It also plays a crucial role in risk stratification – figuring out a patient’s likelihood of having a future cardiac event. Patients with normal MPI results generally have a very low risk of heart attack or cardiac death in the near future, offering immense peace of mind. Conversely, abnormal results trigger further investigation and management. It’s also used to assess the effectiveness of treatments, like bypass surgery or angioplasty, by seeing if blood flow to the heart muscle has improved post-procedure. So, in a nutshell, MPI is vital because it provides functional information about your heart’s blood supply, enabling precise diagnosis, effective treatment planning, and accurate risk assessment, ultimately contributing to better patient outcomes and longer, healthier lives. It truly empowers clinicians to make informed decisions tailored to each individual’s unique cardiac condition.

How Does Myocardial Perfusion Imaging Actually Work?

Let’s get into the nitty-gritty of how Myocardial Perfusion Imaging works. It’s a pretty clever process, combining a radioactive tracer with advanced imaging technology. First, a small amount of a radioactive substance, called a radiotracer, is injected into a vein in your arm. This tracer is designed to travel through your bloodstream and go to your heart muscle. The amount of tracer that reaches different parts of your heart muscle is directly proportional to the blood flow to those areas. So, where there’s good blood flow, more tracer will go; where there’s reduced blood flow, less tracer will reach. Now, here’s the cool part: this process is usually done in two phases – under stress and at rest. The stress phase simulates the effects of physical exertion on your heart. This can be achieved through exercise, like walking on a treadmill, or through medication that makes your heart beat faster and harder, mimicking exercise. During stress, another injection of the radiotracer is given, and images of your heart are taken using a special camera called a gamma camera. This camera detects the radioactivity emitted by the tracer. After a break, you’ll undergo the rest phase. You’ll receive another injection of the tracer, and images of your heart will be taken again while you are at rest. Comparing the images from the stress and rest phases is key. Areas of the heart muscle that show reduced tracer uptake during stress but appear normal at rest indicate a reversible perfusion defect, often caused by a blockage in a coronary artery that limits blood flow during increased demand. Areas that show reduced tracer uptake in both the stress and rest images might indicate a fixed defect, which often represents scar tissue from a previous heart attack or chronic ischemia. The data is processed by computers to create detailed, 3D images or maps of your heart muscle, highlighting areas of normal, reduced, or absent blood flow. This detailed visualization is what allows cardiologists to make confident diagnoses and treatment plans. It’s a sophisticated yet remarkably effective way to understand the intricate dynamics of blood flow within your most vital organ.

Types of Tracers Used in MPI

When we talk about Myocardial Perfusion Imaging , it’s important to know that there are a few different types of radioactive tracers that can be used. The choice of tracer often depends on the imaging equipment available at the facility and the specific clinical question the doctor is trying to answer. The two most common classes of tracers are Technetium-99m (Tc-99m) based agents and Thallium-201 (Tl-201) . Tc-99m agents, like sestamibi (CardioLite) and tetrofosmin, are very popular because they have excellent imaging properties, meaning they produce clear pictures. They are taken up by the heart muscle cells in proportion to blood flow and stay there once they are taken up, making them ideal for imaging during both stress and rest phases without needing a second injection of the same tracer. This often simplifies the imaging protocol and can reduce the overall radiation dose to the patient. Thallium-201, on the other hand, is a radioactive isotope of thallium. It behaves more like potassium and is actively transported into heart muscle cells. A unique characteristic of Tl-201 is that it redistributes, meaning that if there’s a perfusion defect during stress, the tracer can move from areas of normal perfusion to areas of reduced perfusion over time. This redistribution property is fantastic for identifying reversible ischemia (temporary lack of blood flow). However, it requires imaging at specific time points after injection and often necessitates a second imaging session at 24 hours to fully assess rest perfusion. While Tl-201 has been a mainstay for many years, Tc-99m agents have gained widespread popularity due to their imaging advantages and protocol flexibility. Regardless of the tracer used, the fundamental principle is the same: visualize blood flow to the heart muscle. The images obtained allow clinicians to differentiate between normal and abnormal perfusion, which is critical for diagnosing and managing heart conditions. The development and refinement of these tracers have been instrumental in advancing our ability to non-invasively assess cardiac health.

The Role of Imaging Modalities: SPECT and PET

Guys, when you go in for Myocardial Perfusion Imaging , the actual pictures are usually taken using one of two main types of nuclear imaging technology: SPECT (Single-Photon Emission Computed Tomography) and PET (Positron Emission Tomography) . Both techniques use radioactive tracers, but they capture the information differently, leading to variations in image quality, accuracy, and sometimes cost. SPECT is the more traditional and widely available method. It uses gamma cameras to detect photons (gamma rays) emitted by the radiotracer within the heart. These cameras rotate around the patient, collecting data from multiple angles. A computer then reconstructs this data into 3D images, showing slices of the heart and how well the tracer has distributed within the muscle. SPECT provides good anatomical localization of perfusion defects, meaning doctors can tell where in the heart the blood flow issue is. However, SPECT images can sometimes be limited by lower resolution and the potential for attenuation artifacts, where certain tissues can block the signals, potentially obscuring defects. On the other hand, PET is a more advanced technique that offers higher resolution and greater accuracy in quantifying myocardial blood flow. PET uses different types of radiotracers, often attached to molecules like water or ammonia, that emit positrons. When a positron encounters an electron in the body, they annihilate each other, producing two gamma rays that travel in opposite directions. The PET scanner detects these pairs of gamma rays, allowing for a more precise reconstruction of the tracer distribution. This ability to precisely measure blood flow (known as quantitative perfusion imaging) makes PET particularly valuable in complex cases or when subtle perfusion abnormalities need to be detected. PET scans generally provide clearer images with better detection of small perfusion defects compared to SPECT. While SPECT is more common due to its lower cost and broader availability, PET is increasingly recognized for its superior diagnostic capabilities, especially in evaluating patients with obesity, diabetes, or those with previous interventions where artifact correction is crucial. The choice between SPECT and PET often depends on the specific clinical scenario, local expertise, and available technology.

What to Expect During an MPI Scan

If you’re scheduled for a Myocardial Perfusion Imaging scan, you might be wondering what the whole process is like. Don’t worry, it’s pretty straightforward, and the medical team will be there to guide you every step of the way. Typically, the entire appointment can last anywhere from 2 to 4 hours, depending on whether you’re doing an exercise or pharmacological stress test and the specific imaging protocol used. Before the scan, it’s usually recommended to fast for a few hours beforehand, and you’ll be asked to avoid caffeine and certain medications, especially those that affect heart rate or blood flow, as these can interfere with the test results. Make sure to follow your doctor’s specific instructions regarding medications and diet. When you arrive, a technician will place small electrodes on your chest, arms, and legs. These are connected to an electrocardiogram (ECG or EKG) machine to monitor your heart’s electrical activity throughout the test. An IV line will be inserted into a vein in your arm, which will be used to administer the radioactive tracer and, if needed, any stress-inducing medication. The first part is the stress phase. If you’re doing an exercise stress test, you’ll start walking on a treadmill, and the intensity will gradually increase. Your heart rate, blood pressure, and ECG will be monitored closely. Once your heart reaches the target stress level, the radioactive tracer will be injected through your IV. You might feel a slight coldness or flushing. After the injection, you’ll typically continue exercising for a short period. Then, you’ll rest for a bit while the first set of images is acquired using the gamma camera or PET scanner. This imaging usually takes about 15-30 minutes. For the rest phase, you’ll usually have a break, perhaps an hour or two, during which the tracer redistributes in your heart. You might even be allowed to leave the imaging area and come back. Then, you’ll return for a second IV injection of the tracer, and another set of images will be taken. This rest imaging also takes about 15-30 minutes. If you’re having a pharmacological stress test instead of exercise, you’ll receive medications through your IV to increase your heart rate or dilate your coronary arteries, mimicking the effects of exercise. The rest of the process, including tracer injection and imaging, is similar. After the scan is complete, you can usually resume your normal activities, though it’s a good idea to drink plenty of fluids to help clear the tracer from your body. The radioactive tracer used has a short half-life, meaning its radioactivity decreases rapidly, and it’s generally considered safe. The results will then be interpreted by a cardiologist, who will discuss them with you.

Preparing for Your MPI Scan

Proper preparation for your MPI scan is key to ensuring the test runs smoothly and provides the most accurate results possible. Your healthcare provider will give you specific instructions, but here are some general guidelines, guys. First and foremost, follow dietary instructions carefully . You’ll likely be asked to avoid eating for about 4-6 hours before the scan, and this includes avoiding caffeine (coffee, tea, soda, chocolate) and alcohol for at least 24 hours beforehand, as these can affect heart function and blood flow. Medication adjustments are crucial . Your doctor will advise you on which medications to continue and which to stop before the test. This often includes beta-blockers, calcium channel blockers, nitrates, and even some over-the-counter stimulants, as these can blunt your heart’s response to stress. It’s vital not to stop any prescribed medication without explicit instructions from your doctor. Wear comfortable clothing . You’ll be lying down and possibly exercising, so choose something easy to move in. Avoid wearing jewelry or metal objects, especially around your chest and neck, as these can interfere with the imaging. Inform your healthcare team about any relevant medical conditions . This includes kidney problems, as the tracers are cleared by the kidneys, and any allergies. If you have a pacemaker or implanted defibrillator, make sure they know, although this usually doesn’t prevent the test from being done. Understand the purpose of the test . Knowing why you’re having the MPI scan can help alleviate anxiety. It’s a way to check the blood supply to your heart muscle, especially when it’s working harder. Arrive on time . The entire process takes a few hours, so allow ample time for check-in, preparation, and the scan itself. Ask questions . Don’t hesitate to ask the technologist or nurse any questions you have before or during the procedure. Understanding each step can make the experience much more comfortable. By following these preparation tips, you’ll help ensure that your MPI scan is efficient, comfortable, and provides the valuable diagnostic information needed for your heart care.

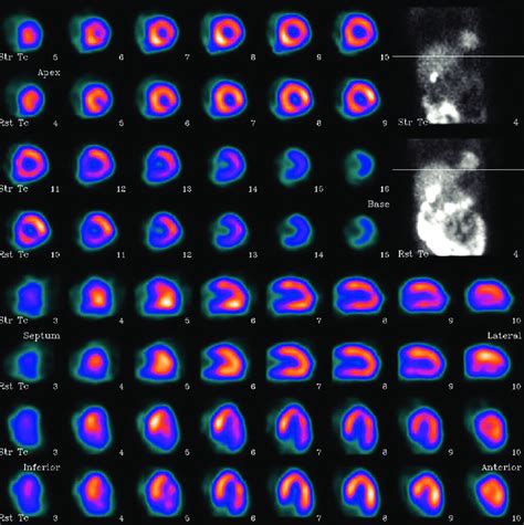
Interpreting the Results of Your MPI Scan

Once you’ve completed your Myocardial Perfusion Imaging scan, the next crucial step is understanding what the results mean. This is where the expertise of a cardiologist comes into play, as they will meticulously analyze the images and correlate them with your medical history and symptoms. The primary goal of interpreting MPI results is to identify areas of the heart muscle that are not receiving adequate blood flow (perfusion). This is done by comparing the images taken during the stress phase with those taken at rest. If the images show normal uptake of the radioactive tracer in all areas of the heart muscle during both stress and rest, this is considered a normal MPI study . This generally indicates that there are no significant blockages in your coronary arteries limiting blood flow to the heart muscle, and your risk of a heart attack in the near future is low. However, if there are areas where the tracer uptake is reduced during stress but returns to normal at rest, this is called a reversible perfusion defect . This is a key finding that suggests a blockage in one or more coronary arteries that restricts blood flow only when the heart is working harder, like during exercise. The location and severity of the reversible defect can help pinpoint which coronary artery might be affected and how significantly. If areas show reduced tracer uptake during both the stress and rest phases, this is termed a fixed perfusion defect . Fixed defects typically indicate permanent damage to the heart muscle, most commonly due to scar tissue from a previous heart attack. It means that part of your heart muscle is no longer viable or has severely impaired function. Sometimes, a combination of reversible and fixed defects can be present. The cardiologist will also assess overall heart function and wall motion if those parameters are included in the study. Based on these findings, your doctor will discuss the implications for your health. A normal scan might mean no further cardiac testing or treatment is needed immediately. A scan with reversible defects will likely lead to further investigations, such as a cardiac catheterization, or treatment with medications or procedures to improve blood flow. Fixed defects might influence decisions about managing heart failure or assessing prognosis. It’s important to remember that MPI is just one piece of the puzzle; your doctor will consider all your health information when making decisions about your care. The detailed information provided by MPI truly empowers clinicians to make precise diagnoses and tailor treatment strategies effectively, offering a clearer path toward maintaining optimal heart health.

What Do Perfusion Defects Mean?

Understanding what perfusion defects mean is central to grasping the significance of your MPI results. A perfusion defect on an MPI scan is essentially an area of your heart muscle where the radioactive tracer did not reach in normal amounts, indicating reduced blood flow to that specific region. As we touched upon, these defects can be classified into two main types: reversible and fixed. Reversible perfusion defects are the most common indicators of significant coronary artery disease (CAD). They signify that a particular section of your heart muscle is not getting enough oxygenated blood during times of increased demand (like during exercise or stress), but it receives adequate blood flow when your heart is at rest. This pattern strongly suggests a blockage or narrowing in a coronary artery that acts like a bottleneck, restricting flow when the heart needs more blood. The reversibility means that the damage to the heart muscle is not yet permanent; restoring adequate blood flow through medical or interventional treatment can often salvage this tissue and prevent future problems like a heart attack. Fixed perfusion defects , on the other hand, suggest a more permanent issue. If an area shows reduced tracer uptake both during stress and at rest, it implies that the heart muscle in that region is either non-viable (dead, usually due to scar tissue from a prior heart attack) or has severely compromised blood supply that doesn’t improve even when the rest of the heart is relaxed. These areas typically do not benefit from revascularization procedures because there’s little or no living muscle tissue to save. The presence, location, size, and severity of these defects are all critical factors that the cardiologist considers. They help determine the extent of CAD, identify which specific coronary arteries are likely affected, and predict the patient’s risk of future cardiac events. Identifying perfusion defects allows doctors to move from a diagnosis of potential CAD to a concrete understanding of its functional impact, guiding them toward the most appropriate and effective treatment strategies, whether that involves lifestyle changes, medications, or procedures aimed at improving blood flow and preserving heart muscle function.

MPI vs. Other Cardiac Imaging Techniques

When it comes to assessing heart health, there are several imaging techniques available, and Myocardial Perfusion Imaging (MPI) stands out for its specific capabilities. Let’s briefly compare it to some other common methods, like echocardiography and coronary angiography, to highlight its unique value. Echocardiography (echo) uses ultrasound waves to create images of your heart’s structure and function. It’s excellent for evaluating the heart chambers, valves, and overall pumping strength (ejection fraction). It can also detect abnormalities in heart muscle movement, which can be affected by poor blood flow. However, echo doesn’t directly visualize blood flow in the coronary arteries themselves or quantify perfusion throughout the entire heart muscle in the way MPI does. While stress echocardiography can assess changes in wall motion during stress, it’s less direct in visualizing the actual blood supply compared to MPI. Coronary angiography , also known as cardiac catheterization, is considered the gold standard for visualizing the coronary arteries directly. A catheter is inserted into an artery (usually in the groin or arm) and guided to the heart. Contrast dye is injected into the coronary arteries, and X-ray images are taken to show any blockages or narrowings. Angiography provides precise anatomical information about the location and severity of blockages. However, it is an invasive procedure, carrying slightly higher risks than non-invasive tests like MPI. Importantly, angiography shows the anatomy (the pipes themselves), while MPI shows the functional consequence of those pipes – how well the blood is actually reaching the heart muscle. Sometimes, angiography might show a moderate blockage that MPI reveals is causing significant perfusion issues, or conversely, a blockage that looks severe on angiography but isn’t functionally significant according to MPI. This is why MPI is often used as a complementary tool or as a first-line test to guide the need for angiography. Compared to other nuclear techniques like a simple cardiac blood pool scan, MPI specifically focuses on blood flow to the heart muscle, not just blood volume within the chambers. So, while other techniques offer valuable insights, MPI’s ability to non-invasively assess functional myocardial perfusion makes it an indispensable part of the cardiac diagnostic toolkit, particularly for evaluating suspected or known coronary artery disease.

The Future of Myocardial Perfusion Imaging

Looking ahead, the field of Myocardial Perfusion Imaging is constantly evolving, with exciting advancements on the horizon. Technology is always pushing the boundaries, and cardiac imaging is no exception. One of the biggest areas of development is in improving image quality and reducing radiation dose . Researchers are working on new radiotracers with better properties and developing more sensitive detectors for both SPECT and PET scanners. AI and machine learning are also playing a huge role. Algorithms are being developed to automatically analyze MPI scans, helping to detect subtle perfusion defects that might be missed by the human eye, improving consistency, and speeding up the interpretation process. This could lead to faster diagnoses and more personalized treatment plans. Quantitative flow imaging , especially with PET, is becoming increasingly important. Instead of just looking at relative differences in blood flow, quantitative methods allow doctors to measure the absolute blood flow (in ml/min/g) to the heart muscle. This provides a more objective and precise assessment of ischemia and can be very useful in complex cases or for tracking treatment response. Hybrid imaging systems , combining PET or SPECT with CT or MRI, are also gaining traction. These systems allow for simultaneous acquisition of functional (perfusion) and anatomical (structure) information, providing a more comprehensive view of the heart in a single session. For example, PET/CT scanners are already common, offering excellent anatomical detail from the CT scan alongside the functional data from PET. The integration of MPI data with other patient information, such as genetic markers or advanced blood tests, through sophisticated data analysis platforms, could lead to even more personalized risk assessment and treatment strategies. Ultimately, the future of MPI lies in making it faster, more accurate, more accessible, and providing even richer, more actionable information to clinicians, further enhancing our ability to diagnose and manage heart disease effectively. The continuous innovation ensures that MPI will remain a cornerstone of cardiac diagnostics for years to come, guys!

Innovations in Tracer Technology and AI

Speaking of the future, let’s zoom in on two of the most impactful areas driving innovation in Myocardial Perfusion Imaging : new tracer technology and the integration of Artificial Intelligence (AI) . On the tracer front, the quest is for agents that are safer (lower radiation dose), provide better image quality, and potentially offer more specific information. For PET imaging, there’s a push towards developing tracers that allow for more accurate and easier quantitative flow measurements, potentially reducing the need for complex calculations or specialized protocols. For SPECT, refining existing Tc-99m tracers or developing new ones could lead to sharper images and faster scanning times. Beyond just improving existing tracers, there’s research into novel approaches, though these are often further out. AI is where things are getting really exciting, though. AI algorithms, particularly deep learning, are being trained on vast datasets of MPI scans. These algorithms can learn to identify patterns associated with different types of perfusion defects, predict the likelihood of coronary artery disease, and even estimate the risk of future cardiac events with remarkable accuracy. AI can help standardize image interpretation, reducing variability between different readers. It can also automate tedious tasks like drawing regions of interest on the heart, saving valuable time for radiologists and cardiologists. Furthermore, AI can potentially detect subtle abnormalities that might be overlooked by the human eye, leading to earlier and more accurate diagnoses. Imagine an AI assistant that can pre-analyze your scan, highlight areas of concern, and even provide a preliminary report – this is becoming a reality. The synergy between advanced tracer development and sophisticated AI analysis promises to make MPI even more powerful and personalized, ensuring it remains at the forefront of cardiovascular diagnostics.

Conclusion: The Enduring Value of MPI

To wrap things up, Myocardial Perfusion Imaging (MPI) has established itself as an indispensable tool in the diagnosis and management of cardiovascular disease. Its ability to non-invasively visualize blood flow to the heart muscle provides critical functional information that complements anatomical data from other tests. For countless patients, MPI has been instrumental in detecting coronary artery disease early, guiding treatment decisions, and offering reassurance when results are normal. While technological advancements continue to refine the process, making it faster, more accurate, and potentially less invasive, the fundamental value of MPI remains unwavering. It empowers clinicians with the insights needed to effectively manage heart health, ultimately contributing to better patient outcomes and longer, healthier lives. So, if you’re ever facing the prospect of an MPI scan, remember it’s a powerful ally in understanding and protecting your heart. Keep those tickers healthy, folks!