Understanding Cervical Facet Disease
Understanding Cervical Facet Disease
Hey guys! Today we’re diving deep into a topic that might sound a bit intimidating but is super important to understand if you’re experiencing neck pain: Cervical Facet Disease . So, what exactly is cervical facet disease? Simply put, it’s a condition that affects the facet joints in your cervical spine – that’s the fancy medical term for the joints in your neck. These joints are like little hinges that connect your vertebrae, allowing your neck to move smoothly. When these joints become damaged or inflamed, it can lead to pain, stiffness, and a whole lot of discomfort. We’ll be exploring the causes, symptoms, and treatment options to help you get a clearer picture and hopefully find some relief. Let’s get started!
Table of Contents
- The Anatomy of Your Neck: Why Facet Joints Matter
- What Causes Cervical Facet Disease? Common Culprits
- Recognizing the Signs: Symptoms of Cervical Facet Disease
- Diagnosis: How Doctors Pinpoint Cervical Facet Disease
- Treatment Options: Finding Relief for Cervical Facet Disease
- Living with Cervical Facet Disease: Tips for Daily Life
- When to See a Doctor About Neck Pain
- Conclusion: Taking Control of Your Neck Health
The Anatomy of Your Neck: Why Facet Joints Matter
Before we get too far, let’s break down what’s happening in your neck. Your cervical spine, or your neck, is made up of seven vertebrae. Between each of these vertebrae, you have these crucial little things called facet joints . Think of them as the connectors that hold everything together while still allowing for movement. Each facet joint is covered in a smooth cartilage, and it’s lubricated by synovial fluid. This setup is designed for effortless movement – bending your head forward, backward, and side to side. Now, imagine these smooth, gliding surfaces getting rough or inflamed. That’s where the problems start with cervical facet disease. It’s not just about the bones; it’s about the entire joint structure – the cartilage, the ligaments, and the capsule that encloses it. When these components are compromised, the smooth gliding action is disrupted, leading to increased friction and irritation. This irritation is what triggers the pain and stiffness we associate with neck problems. It’s fascinating how such small structures can have such a huge impact on our daily lives, right? Understanding this anatomy is key to grasping why facet joint issues can be so persistent and bothersome.
What Causes Cervical Facet Disease? Common Culprits
Alright, so how does this whole cervical facet disease thing even happen? There are a bunch of reasons, guys. The most common culprit is simply wear and tear, also known as osteoarthritis . As we age, the cartilage in our facet joints can gradually break down. It’s like the shock absorbers in your car getting worn out over time – eventually, you start feeling the bumps more. Another major cause is injury . Think of whiplash from a car accident or a sports injury. Even a sudden, forceful movement can damage these delicate joints, leading to inflammation and pain that might not show up immediately but can linger for months or even years. Poor posture is another sneaky contributor. Spending hours hunched over a computer or phone puts a lot of stress on your cervical spine, and over time, this can accelerate the degeneration of your facet joints. Repetitive motions, especially those involving forceful neck movements, can also take their toll. Even genetics can play a role; some people might be predisposed to developing arthritis or having weaker joint structures. It’s a combination of factors that often leads to the onset of this condition. So, while aging is a natural part of it, lifestyle choices and past injuries can significantly influence your risk and the severity of cervical facet disease. It’s a complex interplay, and knowing these causes can help us take preventative steps.
Recognizing the Signs: Symptoms of Cervical Facet Disease
So, how do you know if you might be dealing with cervical facet disease? The symptoms can vary from person to person, but there are some classic signs to look out for. The most prominent symptom is, of course, neck pain . This pain is often described as a deep ache or stiffness, particularly in the back of the neck. It can also radiate to your shoulders, upper back, and sometimes even down your arms. You might notice that the pain gets worse with certain movements, like turning your head or looking up. Stiffness is another big one. Waking up in the morning with a stiff neck that’s hard to move is a common complaint. You might feel like your neck is locked up, and it takes a while for it to loosen up. Headaches are also frequently associated with cervical facet disease. These are often tension-type headaches that originate at the base of your skull and radiate towards the front. Some people report limited range of motion in their neck, finding it difficult to perform everyday tasks like driving or looking over their shoulder. In some cases, you might even experience popping or grinding sensations when you move your neck. It’s important to remember that these symptoms can overlap with other neck conditions, so getting a proper diagnosis from a healthcare professional is crucial. Don’t just self-diagnose, guys! A doctor can perform specific tests to pinpoint the cause of your pain and recommend the best course of action.
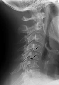
Diagnosis: How Doctors Pinpoint Cervical Facet Disease
Figuring out if you’ve got cervical facet disease involves a few key steps. First off, your doctor will likely start with a thorough medical history and physical examination . They’ll ask you about your symptoms, when they started, what makes them better or worse, and any past injuries you might have had. They’ll then physically check your neck’s range of motion, look for tenderness, and assess your posture. To get a clearer picture of what’s going on inside, imaging tests are usually the next step. X-rays can show bone spurs, joint narrowing, and other signs of arthritis in the facet joints. However, X-rays primarily show bone, so they might not reveal all the details of soft tissue damage. MRI (Magnetic Resonance Imaging) is often more helpful because it provides detailed images of soft tissues like cartilage, ligaments, and discs. It can show inflammation and degeneration more clearly. Sometimes, doctors might use CT (Computed Tomography) scans , which offer more detailed bone images than X-rays and can be useful for assessing bone structures. A really definitive way to diagnose facet joint pain is through diagnostic facet joint injections . In this procedure, a local anesthetic is injected directly into the suspected facet joint. If your pain is significantly reduced or completely relieved after the injection, it strongly suggests that the facet joint is the source of your problem. This diagnostic step is super important because it helps rule out other potential causes of neck pain and confirms the diagnosis before moving on to treatment.
Treatment Options: Finding Relief for Cervical Facet Disease
Okay, so you’ve been diagnosed with cervical facet disease. What now? The good news is there are several ways to manage the pain and improve your quality of life. Treatment usually starts with conservative approaches . Physical therapy is a cornerstone. A physical therapist can guide you through specific exercises to strengthen the muscles supporting your neck, improve your posture, and increase your range of motion. They might also use techniques like massage or heat/cold therapy to alleviate pain and inflammation. Pain medications , both over-the-counter and prescription, can help manage discomfort. Nonsteroidal anti-inflammatory drugs (NSAIDs) are often recommended to reduce inflammation. If conservative methods aren’t enough, doctors might consider injections . As we discussed for diagnosis, facet joint injections , or medial branch blocks, can provide temporary relief by numbing the nerves that supply the facet joints. Radiofrequency ablation (RFA) is another procedure where heat is used to lesion the nerves that transmit pain signals from the facet joints. This can offer longer-lasting relief than simple injections. In more severe or persistent cases, surgery might be considered, though it’s usually a last resort. Surgical options could include fusion of the affected vertebrae to stabilize the spine or decompression to relieve pressure on nerves. Lifestyle modifications are also critical. Improving your posture , using ergonomic setups at work, and engaging in low-impact exercises like swimming or walking can make a huge difference in managing your condition long-term. It’s all about finding the right combination of treatments that works best for you, guys. Consistency is key!
Living with Cervical Facet Disease: Tips for Daily Life
Living with cervical facet disease doesn’t mean you have to put your life on hold, but it does require some adjustments. Managing your posture is probably the most important thing you can do. Be mindful of how you sit and stand, especially when you’re using computers or mobile devices. Try to keep your head aligned with your spine, avoiding that forward-head posture. Ergonomics at your workstation are your best friend. Ensure your monitor is at eye level and your chair supports your back properly. When you sleep, use a supportive pillow that keeps your neck in a neutral position. Regular, gentle exercise is vital. Low-impact activities like walking, swimming, or yoga can help maintain flexibility and strengthen your neck muscles without putting excessive strain on the joints. Listen to your body, though! If an exercise causes pain, stop or modify it. Stress management can also play a role, as stress can lead to muscle tension, which often exacerbates neck pain. Techniques like deep breathing, meditation, or mindfulness can be really beneficial. Avoid activities that put excessive strain on your neck, like heavy lifting or sudden, jerky movements. If you do experience a flare-up, don’t push through the pain. Rest, apply heat or cold as advised by your doctor, and consider using pain relief methods that have worked for you in the past. Educating yourself about your condition, like we’re doing right now, is also empowering. The more you understand cervical facet disease, the better equipped you’ll be to manage it and maintain a good quality of life. Remember, it’s a marathon, not a sprint, and consistent effort will pay off!
When to See a Doctor About Neck Pain
It’s easy to brush off neck pain as just a minor ache, but guys, there are times when you absolutely need to consult a medical professional. If your neck pain is severe and doesn’t improve with rest or over-the-counter pain relievers, it’s time to seek help. Pain that interferes with your daily activities – like sleeping, working, or even just turning your head – is a significant red flag. Also, be aware of pain that radiates down your arms or legs , or if you experience numbness, tingling, or weakness in your extremities. These symptoms could indicate nerve compression, which requires prompt medical attention. Sudden, intense neck pain following an injury , such as a fall or car accident, should always be evaluated by a doctor, even if it seems minor at first. Don’t forget about other concerning symptoms like fever, unexplained weight loss, or a stiff neck that makes it difficult to touch your chin to your chest (meningismus) , as these could point to more serious underlying conditions. If your neck pain is persistent , lasting for several weeks despite self-care measures, it’s definitely time to get it checked out. Early diagnosis and treatment are key to preventing further damage and managing conditions like cervical facet disease effectively. So, please, don’t hesitate to reach out to your doctor if you have any concerns about your neck pain. It’s better to be safe than sorry!
Conclusion: Taking Control of Your Neck Health
So there you have it, guys! We’ve explored what cervical facet disease is, why it happens, how it’s diagnosed, and the various ways to treat and manage it. Understanding this condition is the first step towards taking control of your neck health. Remember, while wear and tear and injuries are common causes, lifestyle factors like posture and repetitive strain play a huge role. The symptoms – pain, stiffness, limited motion – can be challenging, but they are often manageable with the right approach. Whether it’s through physical therapy, medication, injections, or lifestyle changes, there are effective strategies to help you find relief and improve your quality of life. Don’t ignore persistent or severe neck pain, and always consult a healthcare professional for an accurate diagnosis and personalized treatment plan. By being proactive, incorporating good posture habits, exercising regularly, and listening to your body, you can significantly impact your long-term neck health. Stay informed, stay active, and take charge of your well-being!