Understanding Deckplattenimpressionsfraktur: A Guide
Understanding Deckplattenimpressionsfraktur: A Comprehensive Guide
Hey guys! Let’s dive into something a bit complex but super important: Deckplattenimpressionsfraktur , often linked to the LWK (lumbar vertebral body) and coded under ICD-10 . This guide breaks down what this means, why it matters, and what you might expect if you’re dealing with it or know someone who is. We’ll go through it step by step, keeping it easy to understand, so you don’t need to be a medical expert to get the gist. Let’s get started!
Table of Contents
- What Exactly is Deckplattenimpressionsfraktur?
- The Role of ICD-10 Coding: Why Does It Matter?
- Symptoms, Diagnosis, and Treatment Options for Deckplattenimpressionsfraktur
- Prevention and Long-Term Management
- When to Seek Medical Attention and What to Expect
- Conclusion: Taking Control of Your Spinal Health
What Exactly is Deckplattenimpressionsfraktur?
So, what in the world does Deckplattenimpressionsfraktur even mean? Let’s break it down. “Deckplatte” refers to the endplates of a vertebral body—these are the top and bottom surfaces of the bone. “Impressionsfraktur” is a type of fracture where the endplate gets compressed or “impressed” inward. It’s like if you gently pressed down on a marshmallow and it squished a bit. In the context of the spine, this squishing happens to the vertebral body. When we say it’s related to the LWK , we’re talking about the lumbar spine, which is the lower part of your back. This area bears a lot of weight and is prone to injuries. The ICD-10 is the International Classification of Diseases, 10th Revision, which is a global standard used to classify diseases and health problems. It’s how doctors and hospitals track, analyze, and communicate about various medical conditions. So, when a doctor diagnoses a Deckplattenimpressionsfraktur in the lumbar spine, they’re basically saying there’s a compression fracture in one or more of the lumbar vertebrae. This is important stuff, because depending on the severity and location, it can affect your mobility and cause quite a bit of pain.
Now, you might be wondering, what causes this? Well, there are a few common culprits. The most prevalent cause is often osteoporosis, a condition where bones become weak and brittle. This makes them much more susceptible to fractures, even from minor impacts or everyday activities. Another common cause is trauma, like a fall or a car accident. In these cases, the force of the impact can be enough to compress the vertebral body, leading to the impression fracture. Certain types of tumors or other medical conditions that weaken the bone can also increase the risk. The symptoms can vary widely depending on the severity of the fracture and the individual. Some people might experience sudden, sharp back pain, while others might have a more gradual onset of pain that worsens with movement or standing for long periods. Sometimes, there might be no immediate pain, and the fracture is discovered incidentally during an X-ray or other imaging for a different reason. The diagnosis process usually involves a combination of a physical examination, where the doctor will assess your range of motion and look for areas of tenderness, and imaging tests. X-rays are often the first step, as they can show the fracture. However, more detailed imaging, such as MRI or CT scans, might be needed to assess the extent of the damage and rule out other potential causes, such as tumors or other spinal issues. Treatment will depend on a lot of things, including the severity of the fracture, the underlying cause, and your overall health. It could range from conservative measures like pain medication, rest, and physical therapy to more invasive options such as bracing or, in some cases, surgery. Understanding all these factors is critical for effective management and recovery.
The Role of ICD-10 Coding: Why Does It Matter?
Alright, let’s talk about the ICD-10 code. Why is it important? Well, the ICD-10 is the international standard for classifying diseases. It’s basically a universal language for healthcare. This system is used by doctors, hospitals, and insurance companies to record and communicate medical information. The specific code for a Deckplattenimpressionsfraktur in the lumbar spine helps to ensure consistency in diagnosis and treatment across different healthcare settings. Using the correct ICD-10 code allows for accurate data collection and analysis, which is essential for tracking disease trends, evaluating treatment outcomes, and developing public health strategies. For the patient, a correct ICD-10 code means proper billing for medical services, as well as a more accurate understanding of the diagnosis by all healthcare providers involved in their care. It also ensures that the treatment provided aligns with the specific condition. This system is critical because it helps streamline everything from medical records to insurance claims. It also allows for research and better healthcare practices. The code serves as a link between the diagnosis and the patient’s treatment and care path.
Specifically, when dealing with a Deckplattenimpressionsfraktur, the ICD-10 code helps pinpoint the exact location and nature of the injury in the lumbar spine. This precise coding allows healthcare providers to: accurately document the patient’s condition, ensure appropriate medical billing and insurance coverage, and facilitate the planning and implementation of effective treatment strategies. Furthermore, the ICD-10 system enables healthcare professionals to communicate effectively with each other, regardless of their location or specialty. This is especially crucial for conditions that may require multidisciplinary care, such as Deckplattenimpressionsfraktur, which might involve orthopedic surgeons, pain management specialists, and physical therapists. Understanding and using the correct ICD-10 code ensures all relevant information is shared clearly and accurately, leading to better patient outcomes. So, in a nutshell, the ICD-10 code is not just a bunch of numbers and letters; it’s a vital tool that underpins the entire healthcare system. It makes sure that everything runs smoothly, from your doctor’s visit to your insurance claim.
Symptoms, Diagnosis, and Treatment Options for Deckplattenimpressionsfraktur
Okay, let’s talk about what happens when you suspect you might have a Deckplattenimpressionsfraktur . First, let’s look at the symptoms. The most common sign is back pain. The pain can vary in intensity, from a mild ache to a sharp, debilitating stab. It can be triggered by movement, coughing, or sneezing and often worsens with prolonged standing or sitting. Sometimes, the pain radiates to other areas, such as the hips or legs. It might come on suddenly or develop gradually over time. In some cases, there might be no immediate symptoms, and the fracture is discovered during an X-ray or other imaging. Other symptoms can include limited mobility, tenderness to the touch, and, in severe cases, neurological symptoms like numbness, tingling, or weakness in the legs. These symptoms could indicate that the fracture is pressing on the spinal cord or nerves. If you’re experiencing any of these symptoms, it’s crucial to seek medical attention immediately. Early diagnosis and treatment can significantly improve outcomes and prevent further complications. This is why paying close attention to your body and consulting a doctor when you experience persistent or severe back pain is essential.
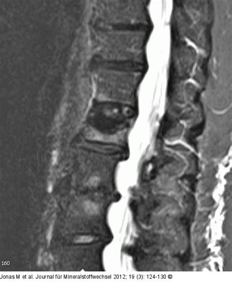
Diagnosis usually starts with a detailed medical history and a physical examination. Your doctor will ask about your symptoms, when they started, and what makes them better or worse. They’ll also perform a physical exam to assess your range of motion, check for tenderness, and evaluate your neurological function. Imaging tests play a vital role in confirming the diagnosis. X-rays are often the first step, as they can reveal compression fractures. However, they may not always show the full extent of the damage. More advanced imaging techniques, such as MRI and CT scans, provide more detailed views of the spine and can help determine the severity of the fracture, identify any nerve compression, and rule out other possible causes of pain, such as tumors or infections. These scans allow healthcare professionals to visualize the bones, soft tissues, and spinal cord, providing a comprehensive understanding of the injury. The information gained from these scans helps the doctor make an accurate diagnosis and develop an appropriate treatment plan.
Now, let’s get into the treatment options. The goal is to relieve pain, promote healing, and prevent further injury. The treatment plan varies depending on the severity of the fracture and the patient’s overall health. Conservative treatments often include: pain medication to manage pain and inflammation, rest and activity modification to avoid activities that aggravate the pain, bracing to stabilize the spine and provide support, and physical therapy to improve strength, flexibility, and posture. In some cases, more invasive treatments are necessary. These may include: vertebroplasty, a procedure where bone cement is injected into the fractured vertebra to stabilize it, and kyphoplasty, a similar procedure but involves inflating a balloon to create space before injecting the cement. These procedures are typically performed under local anesthesia and can provide rapid pain relief. Surgery might be required in cases where there’s significant spinal instability or nerve compression. The choice of treatment will depend on various factors, including the type of fracture, the severity of symptoms, and the patient’s overall health. The doctor will discuss all the options with the patient and help them decide on the best course of action.
Prevention and Long-Term Management
Alright, let’s talk about what we can do to prevent a Deckplattenimpressionsfraktur and how to manage it in the long term. Prevention is always better than cure, right? So, here are a few key strategies. If you have osteoporosis or are at risk, the most important thing you can do is work with your doctor to manage it. This might involve medication to increase bone density, calcium and vitamin D supplements to support bone health, and regular weight-bearing exercises to strengthen bones. Regular exercise is crucial for maintaining strong bones and muscles. Activities like walking, jogging, and dancing help to improve bone density and reduce the risk of fractures. If you are older or have mobility issues, improving your balance and coordination will reduce the risk of falls. This could include exercises like tai chi or yoga, or simply making sure your home is free of trip hazards. Another important aspect of prevention is a healthy diet. Make sure to get enough calcium, vitamin D, and other nutrients essential for bone health. If you are a smoker, quitting is one of the best things you can do for your overall health, including bone health. Smoking reduces bone density and increases the risk of fractures.
In terms of long-term management, a multi-faceted approach is often the most effective. This means that after the initial treatment, you’ll need to focus on things like pain management. Your doctor may recommend a combination of medications, physical therapy, and other strategies to keep the pain under control. Regular physical therapy is crucial. It helps to strengthen the muscles that support your spine, improve your flexibility, and improve your posture. This can help to prevent further injuries and improve your quality of life. Ongoing exercise is also essential. Even if you’re not in pain, staying active and maintaining a healthy lifestyle is key. Focus on exercises that are gentle on your back, such as swimming or cycling. Making changes at home can also significantly improve your comfort. This can include using a supportive mattress, ergonomic furniture, and modifying your daily activities to avoid putting strain on your back. Regular check-ups with your doctor are also important. They can monitor your condition, adjust your treatment plan as needed, and address any new concerns. They will also assess your bone density and make sure your medication is working effectively. By following these steps, you can significantly improve your quality of life and reduce the risk of future fractures. This comprehensive approach ensures that you’re well-equipped to manage your condition and live a fulfilling life.
When to Seek Medical Attention and What to Expect
Okay, when should you see a doctor, and what should you expect during your visit? First, let’s talk about the red flags – the symptoms that should prompt you to seek medical attention right away. If you have severe back pain that doesn’t improve with rest or over-the-counter medications, it’s time to see a doctor. If the pain radiates down your legs, or if you experience numbness, tingling, or weakness, don’t delay. These could be signs of nerve compression, and it’s important to get it checked out quickly. If you have any loss of bowel or bladder control, go to the emergency room immediately. This is a serious symptom that needs immediate medical attention. If you’ve had a fall or injury and have back pain, especially if you’re older or have a history of osteoporosis, get yourself checked. If you notice any significant changes in your posture or if you’re experiencing any unexplained weight loss, talk to your doctor. Any of these symptoms should be taken seriously, as they could indicate a serious underlying problem.
So, what should you expect when you visit the doctor? Your doctor will start by taking a detailed medical history and asking about your symptoms, any previous injuries, and any medications you’re taking. They will perform a physical exam, assessing your range of motion, checking for areas of tenderness, and evaluating your neurological function. They might order imaging tests, such as X-rays, MRI, or CT scans, to get a clear picture of what’s happening in your spine. Based on the findings from your exam and any imaging tests, your doctor will give you a diagnosis and discuss the appropriate treatment options. Be prepared to answer questions and provide as much detail as possible about your symptoms, including when they started, what makes them better or worse, and any other relevant information. Don’t hesitate to ask questions. Make a list of things you want to ask your doctor, so you don’t forget anything. This will ensure you understand the diagnosis and treatment options. If necessary, your doctor might refer you to a specialist, such as an orthopedic surgeon or a pain management specialist, for further evaluation and treatment. Having a clear understanding of what to expect during your doctor’s visit will help reduce anxiety and enable you to participate more actively in your care.
Conclusion: Taking Control of Your Spinal Health
So there you have it, guys! We’ve covered a lot about Deckplattenimpressionsfraktur , the LWK , and the use of ICD-10 codes. It’s not the easiest topic, but hopefully, you now have a better understanding of what it is, what causes it, how it’s diagnosed, and how it’s treated. Remember, your spinal health is super important, so it’s critical to take care of it. Whether you are dealing with this condition or simply looking to learn more, I hope this information empowers you. If you suspect you have any back pain or other spinal issues, seek medical attention. Early diagnosis and treatment can make a huge difference in your outcomes. By staying informed and proactive, you’re taking control of your health and well-being. Always consult with a healthcare professional for personalized advice. Thanks for reading, and stay healthy, folks!